
There are several diagnostic imaging procedures that can be used to detect potential injuries, including broken bones, torn muscles, ligaments and tendons and more. At Texas Orthopedics, your doctor will order imaging to help narrow the cause of an injury and ensure an accurate diagnosis.
The most common diagnostic imaging assessments ordered at Texas Orthopedics are X-rays, MRIs and bone density scans.
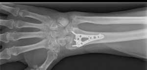
What Is an X-ray?
Also called radiographs, X-rays are one of the most common imaging tools used to look at internal body structures. They are often the first test ordered by physicians to determine the cause of pain or swelling and help rule out broken bones. X-rays use electromagnetic radiation to create images of bones and other dense matter, while soft tissue remains dark. Orthopedic surgeons also use X-rays to determine if a broken bone will require surgery or can heal without surgery in a cast or brace.
X-rays are available at each of our Austin area locations.
After reviewing X-ray images, your doctor may recommend a second type of imaging, such as an MRI, to better diagnose your condition or injury.
What Is an MRI?
Magnetic resonance imaging, or MRI, creates magnetic fields and pulses radio waves to the area of concern, such as your knee, shoulder or spine, and produces detailed cross-sectional images.
Unlike an X-ray, an MRI can detect organs and soft tissue, such as tendons, ligaments and cartilage, in addition to bones. Your doctor may order an MRI to help diagnose torn knee ligaments, a rotator cuff tear, or herniated disc.
Texas Orthopedics offers MRI services at our Northwest Austin, South Austin and Cedar Park locations. All of our MRI facilities are nationally accredited by the American College of Radiology.
What Is a Bone Density Scan?
A bone density, or DEXA, scan is a type of X-ray that measures the amount of calcium and other important minerals in your bones, as well as bone thickness and strength. Bone density scans are often used to diagnose and monitor osteoporosis and can also be used to detect weak spots in bones that may be susceptible to breaks or fractures. Most commonly the spine and hip are tested to measure bone density.
Bone density testing is available at Texas Orthopedics Northwest Austin location.
Texas Orthopedics Imaging Services
Texas Orthopedics is fully equipped with state-of-the-art imaging equipment to help our orthopedic surgeons, physiatrists and rheumatologists diagnose a wide range of musculoskeletal injuries and conditions. You doctor may order more than one diagnostic imaging procedure depending on your individual diagnosis and treatment plan.
Keep up with Texas Orthopedics news by following us on Facebook and Instagram.




