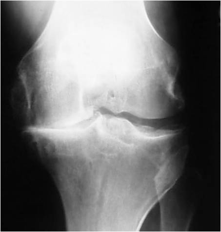
Arthritic Knee
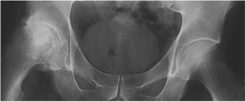
Arthritic Hip (left) Healthy Hip (right)
All joints have a smooth white slippery covering called cartilage which acts as the bearing surface for movement. It is where the “rubber hits the road” for the movement of joints. There are over 100 various disorders which cause damage to the cartilage. The most common arthritis, osteoarthritis, results from stresses on cartilage that are greater than the tissue can withstand. This can be routine forces on weakened cartilage or from excess forces on normal cartilage. Researchers have found that an inherited weakness of the main protein in cartilage (collagen) frequently leads to early osteoarthritis. Hormones that help make women’s tissues soft, supple and more flexible for pregnancy may be a reason women have twice the osteoarthritis of men. It is easy to understand how the forces of direct trauma can damage cartilage and its underlying bone. Motor vehicle accidents, falls or severe sports injuries, especially those that tear ligaments, are well known causes of arthritis later in life. Using a tire example, driving recklessly over potholes or across sharp metal objects will clearly tear up your tires! Excess force on the joint over the long term can also wear out healthy cartilage.
People with crooked legs from bowlegs or knock-knees or from poorly healed fractures of the leg bones, wear out their cartilage on the high stress side of their joints. People with straight legs can also overload their cartilage with continuous loads that crush their cartilage. Participation in high level sports like soccer and football has also been associated with more frequent arthritis of the hip and knee. Occupations where heavy loads are lifted repeatedly, such as farming and ranching, can also lead to arthritis. Being overweight causes heavy loads across your joints with every step. Obesity is not only a common cause of hip, knee, and ankle arthritis, but it also makes your symptoms worse.
Other causes of arthritis are uncommon diseases like rheumatoid arthritis, psoriatic arthritis and lupus. These autoimmune arthritis disorders result when the body’s immune system goes awry and attacks its own cartilage. Using the car tire example, you can think of autoimmune disorders as a bad battery acid leak on the tires where the rubber slowly dissolves away!
Treatment for all arthritis is to decrease pain and improve the function. Treatment depends on the cause of your arthritis, your age, the severity of your symptoms and your willingness to accept the risks of the treatment. Avoiding high demand activities, weight loss, gentle exercises, canes or walkers, pills, injections and various surgical procedures can all be effective treatments. Your best resource for the diagnosis and treatment of arthritis is your family doctor who can refer you to a specialist should the need arise.


